Die Informationen auf dieser Seite finden Sie in Band 40 einer eBook-Reihe der Patienten-Akademie.
Hier bekommen Sie dieses eBook in verschiedenen Formaten:
Im Anhang dieses eBooks finden Sie auch den Verweis auf ein weiteres eBook, in dem Betroffenen Hinweise gegeben wird, wie Sie sich im Fall auftretender Brustbeschwerden verhalten sollten.
Viele Menschen klagen über Brustschmerzen, für die es viele mögliche Ursachen gibt. Viele davon sind harmlos, viele aber auch u.U. lebensgefährlich.
Bei der Untersuchung von Brustschmerzen müssen zunächst gefährliche Ursachen ausgeschlossen werden. Erst wenn solche gefährlichen Ursachen ausgeschlossen worden darf man von lästigen, aber harmlosen Brustschmerzen sprechen.
In den Notambulanzen von Krankenhäusern stellen Brustschmerzen den zweithäufigsten Grund zur Vorstellung dar. Etwa 5% aller Patienten, die sich dort vorstellen, beklagen solche Beschwerden.
Brustschmerzen sind für die Betroffenen beängstigend, weil sie befürchten, daß das Herz die Ursache ist und daß sie daher in akuter Gefahr schweben. Dies ist aber keineswegs immer der Fall, denn das Herz ist keineswegs immer an der Entstehung der Beschwerden beteiligt. Es gibt vielmehr eine Vielzahl von Erkrankungen, die Brustschmerzen verursachen. Einige dieser Erkrankungen sind tatsächlich gefährlich:
Neben diesen möglicherweise gefährlichen Ursachen gibt es aber noch andere Erkrankungen, die Brustschmerzen auslösen können, die aber nicht akut gefährlich wie die oben genannten sind, z.B.
Es ist die Aufgabe verschiedener Untersuchungen, möglicherweise gefährliche Ursachen der Schmerzen zu finden, gefährliche Krankheiten zu beseitigen und die Schmerzen nach Möglichkeit abzustellen.
Die Untersuchungen, die zur Klärung der Schmerzursache erforderlich sind kann man ganz grob in 2 Kategorien einteilen:
Wichtigster Teil der Basisuntersuchung ist die Anamnese d.i. die Erfragung der Beschwerden und der Vorgeschichte. Einzelheiten über die Anamnese erfahren Sie, wenn Sie hier klicken.
Hier geht es zunächst darum, die Beschwerden genau zu hinterfragen:
Es kann sich um einen dumpfen Druck oder einen spitzen Schmerz handeln, die einen beschreiben „eine Enge in der Brust“, andere sprechen von einem „Druckgefühl in der Herzgegend“ und wiederum andere von einem regelrechten Schmerz oder von dem Gefühl, das Herz einfach zu spüren (was üblicherweise nicht der Fall ist).
Es ist ebenfalls wichtig, nach anderen Beschwerden zu fragen:
Auch das Erfragen von Risikofaktoren ist von großer Bedeutung:
Von großer Bedeutung ist es, mit Hilfe der Erfragung seiner Beschwerden zu klären, ob der Patient an Angina pectoris-Beschwerden leidet. Über diese Art der Beschwerden gibt es ein spezielles eBook dieser eBook-Reihe.
![]() |
| Abb. 1 |
Angina pectoris nennt man die bei einem Sauerstoffmangel des Herzmuskels auftretenden typischen Beschwerden. Sie können z.B. durch verengt oder verschlossene Herzkranzgefässe verursacht werden. Charakteristisch für Angina pectoris sind:
Bei solchen „typischen“ Angina pectoris-Beschwerden ist die Wahrscheinlichkeit, daß eine bedeutsame Herzkrankheit vorliegt sehr hoch und in der Regel kann man schon jetzt sagen, daß hier weitere und spezielle Untersuchungen notwendig sein werden.
Nicht jeder Mensch mit einer bedeutsamen Herzkrankheit hat jedoch „typische“ Angina pectoris. Es gibt auch „untypische“ Beschwerden:
Die Beschwerden können sowohl bei Belastungen als auch in Ruhe auftreten, sie können in rechte Schulter, rechten Arm oder sogar in den Bauch ausstrahlen, es müssen nicht immer Schmerzen sein, die man verspürt, sondern es kann sich „nur“ um ein „komisches Gefühl“ handeln.
Solche „atypischen Beschwerden“ werden oft von Frauen oder zuckerkranken Menschen angegeben und sie können ebenso auf eine Herzkrankheit hindeuten wie die beschriebene typische Angina pectoris.
Einzelheiten erfahren Sie, wenn Sie hier klicken.
Wichtig sind hier
Siehe Informationen über das EKG.
Sollte so schnell wie möglich durchgeführt werden, um einen frischen Herzinfarkt sofort zu erkennen und behandeln zu können.
Hier kann man u.a. folgende Befunde sehen:
![]() |
| Abb. 2 |
| EKG bei Angina pectoris-Anfall. Der Sauerstoffmangel des Herzmuskels infolge einer verengten Herzkranzarterie zeigt sich in den negativen ST-T-Strecken (Pfeile) |
![]() |
| Abb. 3 |
| Frischer Vorderwand-Herzinfarkt mit Anhebungen der ST-T-Strecke (Pfeile) |
![]() |
| Abb. 4 |
| Frischer Vorderwand-Herzinfarkt mit Anhebungen der ST-T-Strecke (Pfeile) |
![]() |
| Abb. 4 |
| Verdickung der Wand des linken Ventrikels mit unnatürlich hohen R-Zacken (rote Pfeile) und Senkungen der ST-T-Strecke (schwarze Pfeile) bei Herzmuskelkrankheit |
![]() |
| Abb. 5 |
| Herzbeutelentzündung mit Anhebungen der ST-T-Strecke |
Siehe Informationen über das Röntgen des Brustkorbs.
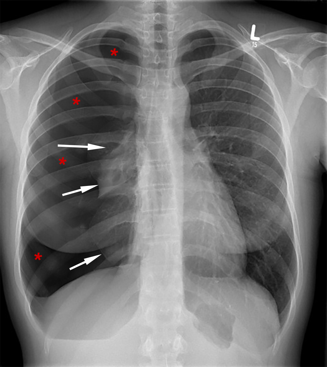
![]() |
| Abb. 6 |
| Verdickung der Wand des linken Ventrikels mit unnatürlich hohen R-Zacken (rote Pfeile) und Senkungen der ST-T-Strecke (schwarze Pfeile) bei Herzmuskelkrankheit |
Im Röntgenbild des Brustkorbes kann man u.U. Hinweise auf eine Erkrankung des Herzens sehen, wie z.B. Vergrößerungen und Verdickungen des linken Ventrikels, jedoch sind diese Röntgenhinweise im allgemeinen nicht sehr aussagekräftig.
Das Röntgenbild ist aber dennoch wichtig, denn es zeigt auch Erkrankungen der Lungen, wie z.B. einen Pneumothorax (Luftansammlung im Spalt zwischen Lungen- und Brustfell), bei dem ein Teil der Lungen zusammenfällt (Abb. 6).
U.U. kann man aber auch die Zeichen einer Lungenentzündung, einer Flüssigkeitsansammlung im Brustkorb (Pleuraerguß) oder auch Tumore sehen.
Die folgenden Blutuntersuchungen sind wichtig:
Weitere Blutuntersuchungen davon abhängig gemacht werden, welchen Verdacht der Arzt auf die Ursache der Brustschmerzen hat.
Die o.g. Werte sind aber im Rahmen der 1. Vorstellung eines Patienten zur groben Erstabschätzung des Problems wichtig.
Brustschmerz ist ein Symptom, das (siehe oben) zahlreiche Ursachen haben kann. Daher ist es in vielen Fällen notwendig, neben den o.g. Basisuntersuchungen zusätzliche spezielle Untersuchungen durchzuführen. Dabei hängt es davon ab, .....
Ende der Leseprobe
Lesen Sie in den eBooks (padBook, phoneBook, Kindle) mehr über:
Im Anhang dieses eBooks finden Sie auch den Verweis auf ein weiteres eBook, in dem Betroffenen Hinweise gegeben wird, wie Sie sich im Fall auftretender Brustbeschwerden verhalten sollten.
Sie können das eBook dieser eBook-Reihe bekommen, wenn Sie hier klicken: